Our latest Quick Poll results Participants shows Network dentists are driven by their dedication to improving patient care and keeping up with the latest clinical advancements. However, they face challenges such as time constraints and difficulties with patient recruitment.
Restorative Treatments for Lesions with Subgingival Margins

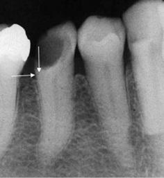
Various approaches have been proposed for clinical cases where the margins of the cavity are subgingival.
A Quick Poll sought to learn more about subgingival margin restorative approaches to guide further research. A total of 533 practitioners answered the poll. Participants were presented with a clinical scenario, and the results revealed that:
- 24% would do crown lengthening and a root canal, 25% crown lengthening only, 11% root canal only, and 41% neither.
- Most of the respondents (62%) would restore function with a full crown or onlay. Fewer practitioners would either place an endo-crown (12%), or a direct composite restoration (11%), or even extract and place an implant or partial denture (13%).
- When asked about an emerging technique to restore the tooth called coronal marginal relocation (CMR), deep margin elevation (DME) or Proximal Box Elevation (PBE), about half of the practitioners have heard of (25%) or used the restorative technique (28%), but most were not aware of it (48%).

Interested in Becoming a Member?

Comments (0)